MedBlog

Orthopaedics

Turf toe: What athletes need to know about this painful injury

Orthopaedics

football players scrimmaging on field
Turf toe is a common injury in the NFL, but only 2% of cases require surgery. Most cases usually improve with rest, ice, and over-the-counter pain medication.

The name “turf toe” might sound trivial, but it can be a serious setback. Just ask NFL quarterbacks Joe Burrow of the Cincinnati Bengals and Brock Purdy of the San Francisco 49ers. Both suffered the injury in the first two weeks of the 2025 season.

This painful foot condition is a severe sprain of the biggest joint in the big toe, and it is most common among football players. In fact, one study found up to 45% of NFL players have dealt with turf toe during their career, with 83% of those injuries occurring on artificial turf. Turf is harder than grass, which can worsen the result of foot-to-ground impact – and it’s how turf toe got its name.

Other athletes who are at increased risk of turf toe are those who make sudden foot movements and changes in direction, such as soccer and basketball players, gymnasts, and dancers.

Purdy and Burrow, who were both injured while playing on artificial turf, illustrate the range of severity that turf toe can take. Purdy is expected to return after a week or two, while Burrow, who has more significant ligament damage, will need surgery and is out for at least three months, according to a statement from the Bengals.

Less than 2% of turf toe injuries require surgery – it usually gets better with rest, ice, and over-the-counter pain medication. Getting a prompt and proper diagnosis from a foot expert will help you get the right treatment for your injury so you can get back in the game as soon as possible.

What is turf toe?

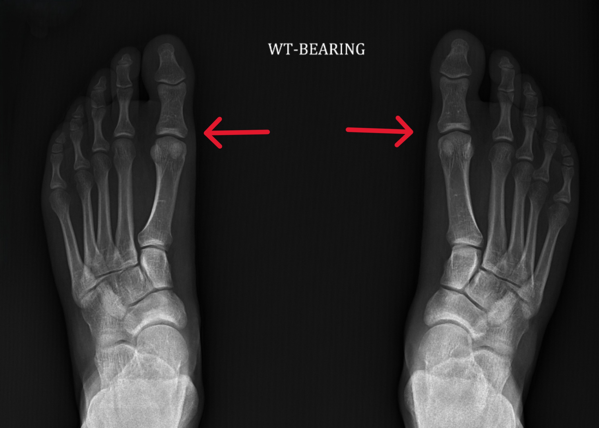
X-ray showing bones in healthy feet with arrows pointing to MTP joint
The arrows on this X-ray of healthy feet point to the metatarsophalangeal (MTP) joints that are the focus of turf toe injuries.

Turf toe is another name for a metatarsophalangeal (MTP) joint sprain. Your toe has two big joints, the larger of which is the MTP joint that connects the base of your big toe to the rest of your foot. It is surrounded by soft tissues such as ligaments and tendons. Turf toe occurs when your toe is hyperextended – or bends farther than it’s supposed to – causing the soft tissues in your big toe to stretch or tear.

A common movement that can cause this is when your toe remains flat on the ground and your heel lifts, like when you push off to sprint or jump. About 90% of your body weight is transferred through the MTP joint when you push off during such movements. Repeated pushes over time or one big forceful push can stretch or tear the soft tissues around the MTP joint. Turf toe also can result from sudden trauma, such as during a tackle or a fall in which the toe sticks into the ground.

Turf toe symptoms can range from mild to severe. If it’s caused by repetitive injuries, symptoms may appear gradually and get worse over time. If it’s caused by a sudden injury, you will feel pain right away and may even feel or hear a “pop.”

Feet propped on couch with anatomy of foot highlighting area of turf toe injury
Turf toe injuries occur when the foot is hyperextended, damaging the soft tissue in the joint that connects the base of the big toe to the rest of your foot.

We classify turf toe injuries using a grading system.

  • Grade 1: This is the mildest turf toe injury and means you’ve stretched the tissues around the MTP joint but not torn them. The area may be sensitive, and there may be some swelling.
  • Grade 2: This means you’ve partially torn some of the soft tissues or sustained a fracture of a sesamoid bone in the MTP joint. You will feel moderate pain, swelling will be more significant, and you may experience some restriction in the range of motion of the toe.
  • Grade 3: This means you have completely torn the soft tissues or sustained a fracture of a sesamoid bone at the plantar surface of the MTP joint, and the joint may display instability. You will have a lot of pain and swelling, and you likely will not be able to move the toe.

What does treatment and recovery look like?

Your treatment and recovery timeline will depend on the grade of your turf toe injury.

Grade 1: Treatment usually requires only rest, ice, elevation, and over-the-counter pain medication. Your doctor also may show you how to tape your big toe to the smaller toes to restrict motion while it heals. You’ll also want to wear sturdy, supportive footwear. Though you should gradually reintroduce movement to the big toe, it should only take a few days to a week to feel better.

Grade 2: With a partial ligament tear, treatment will be similar to that for Grade 1 but will also likely require you to wear a walking boot and maybe use crutches. Recovery will take three to Six weeks with physical therapy to restore range of motion and strength. Your doctor or physical therapist may recommend special shoe inserts or a particular type of shoe to stabilize and support your toe joint while running, jumping, or playing sports.

Grade 3: This grade of turf toe usually requires foot surgery; the type will depend on the damage sustained to the bones and soft tissues. After surgery, you’ll need a boot and crutches for about six weeks to avoid bearing weight on your foot. After six weeks, you’ll still need the boot but will be able to start putting weight on your foot. Around eight weeks after surgery, you’ll start transitioning out of the boot and begin physical therapy, which can last up to six months. It may take up to a year to feel normal again. Research shows that up to 90% of patients who have surgery can resume their sport, but up to 73% may notice reduced performance.

What can you do to prevent turf toe?

Female soccer player stretching on turf field
Stretching is important for athletes to help reduce the risk of injury.

While athletes can’t always prevent turf toe, there are steps you can take to decrease your risk of injury:

  • Wear shoes that provide stability. Avoid styles that are too flexible, especially in the toe area.
  • Take time to stretch. You’re less likely to get injured if your muscles and soft tissues are warmed up before your game or performance.
  • Talk with a doctor or physical therapist. If you are involved in an activity, such as football or ballet, that increases your risk of turf toe, ask what else you can do to lower your chances of injury.

If you do start feeling pain or swelling in your toe or foot – even if it’s mild – take a break. Don’t ignore it or try to push through because that will make the pain worse. If you don’t treat turf toe, you may wind up with long-term pain and joint stiffness. In severe cases, arthritis and bone spurs can develop around the joint. Talk with a doctor if your foot pain persists after a few days of rest.

For severe pain, especially if you can’t put weight on the foot, see a podiatrist or sports medicine expert with experience in diagnosing and treating turf toe. If you need surgery, you’ll want to work with an orthopedic surgeon like my colleagues and I at UT Southwestern Medical Center who have extensive experience in the nuances of this type of repair.

Turf toe might slow you down temporarily, but with the right care and support, you can get back to the activity you love, whether that’s hitting the field again with your teammates, dancing, or simply walking pain-free.

Michael D. VanPelt, D.P.M., M.H.A, FACFAS, is a Professor in the Department of Orthopaedic Surgery at UT Southwestern Medical Center. He specializes in the surgical treatment of foot and ankle sports injuries in adolescent and adult athletes as well as foot and ankle trauma and reconstruction.

To talk with an expert about diagnosis and treatment for turf toe, make an appointment by calling 214-645-3300 or request an appointment online.